Cialis este un tratament eficient pentru disfuncția erectilă, oferind rezultate rapide și de lungă durată. Pe http://mymed.ro/old/cialis.html găsești informații detaliate despre acest medicament, inclusiv doza recomandată și posibilele efecte secundare. Mulți bărbați aleg Cialis datorită acțiunii sale prelungite, care poate dura până la 36 de ore. Dacă vrei să afli mai multe despre beneficiile și modul de administrare, vizitează pagina noastră dedicată. Alege un tratament sigur și eficient, informându-te din surse de încredere!

Viagra este unul dintre cele mai cunoscute tratamente pentru disfuncția erectilă, oferind o soluție eficientă pentru bărbații care se confruntă cu această problemă. Pe http://mymed.ro/old/viagra.html poți găsi informații detaliate despre modul de administrare, doza optimă și efectele secundare ale acestui medicament. Mulți utilizatori apreciază Viagra pentru eficiența sa rapidă, care ajută la obținerea și menținerea erecției. Dacă vrei să afli mai multe despre acest tratament și cum te poate ajuta, vizitează pagina noastră dedicată. Informează-te corect și alege soluția potrivită pentru tine!

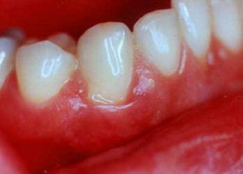
Sângerarea gingivală (gingivoragie)

Sângerarea de la nivelul gingiilor (gingivoragie) poate fi semnul unei afec?iuni gingivale sau poate indica prezen?a unei tulbur?ri de coagulare a sângelui.

Aproape fiecare dintre noi a avut o sângerare gingivală după un periaj mai dur, consumul unor alimente colțuroase sau tratamente stomatologice (extracție dentară). Atunci când gingivoragia apare periodic sau permanent, este necesar un consult la stomatolog; dacă se exclud cauzele locale de sângerare, se va efectua o hemogramă și probe de coagulare pentru depistarea unei diateze hemoragice. Cele mai frecvente cauze de sângerare gingivală sunt cele locale: infecții, inflamații și traumatisme.

Cauze

  • spălarea viguroasă sau chiar agresivă a dinților, cu periuțe cu peri tari
  • răniri ale gingiei produse de scobitori, alimente dure sau ața dentară
  • afecțiuni gingivale (gingivită), boli parodontale (parodontoză)
  • modificări hormonale în timpul sarcinii, menopauzei, ciclului menstrual, pubertății, asociate utilizării de contraceptive orale sau după histerectomie/anexectomie
  • proteze care nu se potrivesc și lezează gingiile
  • infecții dentare
  • medicamente antiagregante și anticoagulante
  • deficit de vitamine (C, K)
  • succțiunea gingiilor
  • afecțiuni hepatice
  • boli sistemice (diabet zaharat, leucemie, anemie, trombocitopenie, fragilitate capilară, deficit al factorilor de coagulare, hemofilie)
  • boli autoimune (lupus, artrita reumatoidă)

Cea mai frecventă cauză de sângerare gingivală este gingivita. Inflamația gingiilor este favorizată de igiena dentară precoce, cariile netratate, tartru, fumat și obturațiile (plombele) executate incorect (în exces, cu suprafață rugoasă).

Tratament

Tratamentul sângerărilor gingivale constă în menținerea unei igiene orale riguroase și efectuarea unui periaj blând. Uneori pot fi recomandate și antibiotice, pentru prevenirea infecțiilor. Problemele gingivale trebuie tratate încă din stadii incipiente, deoarece ele pot evolua ducând la retracția gingiei și afectarea danturii. Alte măsuri pentru tratamentul sângerărilor gingivale includ renunțarea la fumat, evitarea produselor de igienă orală cu alcool și corecția hipovitaminozelor.

Add comment


Security code
Refresh