Cialis este un tratament eficient pentru disfuncția erectilă, oferind rezultate rapide și de lungă durată. Pe http://mymed.ro/old/cialis.html găsești informații detaliate despre acest medicament, inclusiv doza recomandată și posibilele efecte secundare. Mulți bărbați aleg Cialis datorită acțiunii sale prelungite, care poate dura până la 36 de ore. Dacă vrei să afli mai multe despre beneficiile și modul de administrare, vizitează pagina noastră dedicată. Alege un tratament sigur și eficient, informându-te din surse de încredere!

Viagra este unul dintre cele mai cunoscute tratamente pentru disfuncția erectilă, oferind o soluție eficientă pentru bărbații care se confruntă cu această problemă. Pe http://mymed.ro/old/viagra.html poți găsi informații detaliate despre modul de administrare, doza optimă și efectele secundare ale acestui medicament. Mulți utilizatori apreciază Viagra pentru eficiența sa rapidă, care ajută la obținerea și menținerea erecției. Dacă vrei să afli mai multe despre acest tratament și cum te poate ajuta, vizitează pagina noastră dedicată. Informează-te corect și alege soluția potrivită pentru tine!

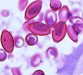
Paraziții tratează colita ulcerativă

Precum bacteriile pr?d?toare sau bacterioterapia fecal?, pharmacy cialis sale infestarea cu parazi?i intestinali poate reprezenta o metod? de tratament neconven?ional? în anumite afec?iuni.

Este vorba despre bolile mediate imunologic precum colita ulcerativă, astmul bronșic, alergiile alimentare sau boli autoimune precum artrita reumatoidă sau diabetul zaharat tip 1. Într-un articol publicat în Science Translational Medicine se arată că infestarea cu helminți a redus simptomatologia și a ameliorat aspectul colonoscopic al pacienților cu colită ulcerativă. Terapia cu helminți se face prin ingestia orală de ouă de paraziți.

Deși trăim într-o antibacterial-meds-info.com bacteriilor (fiecare om este colonizat de un număr de 10 ori mai mare de bacterii decât numărul celulelor din organism), nu înseamnă că nu le putem folosi în avantajul nostru. Cine credea că „micile animăluţe” observate de Anton Anton Leeuwenhoek în 1675 la microscop vor deveni pe cât de primejdioase, pe atât de utile omului? Tulpinile bacteriene sunt astăzi folosite pentru producţia în masă a vaccinurilor împotriva multor boli infecţioase, pentru producerea de electricitate (Geobacter) sau de aur (Cupriavidus metallidurans). Virusurile sunt utilizate în terapii genetice, iar culturile de fungi din genul Penicillinum au ajutat la descoperirea primului antibiotic (penicilină, Alexander Fleming, 1930).

Add comment


Security code
Refresh